お悩み別症例集

悪い噛み合わせは、
体にさまざまなダメージを与えます
歯並びを気にされている方のなかには、「目立つから」と前歯の歯並びばかり気にさている方もいるかもしれません。しかし、表からは見えにくい奥歯の歯並びや噛み合わせも重要なのです。
噛み合わせが悪いことを「不正咬合」といい、全身に悪影響を及ぼす可能性があります。不正咬合にはさまざまな種類があり、一つに限らず複数の特徴を合わせ持っていることが多く、その原因や症状の程度も人それぞれ異なります。そのため、精密な検査とカウンセリングを受け、ご自身に合った治療法を見つけていただくことが大切です。
放っておくとどうなるの?
まず噛み合わせのズレは自然に治ることはありません。歯並びが悪いと歯磨きがしにくく虫歯や歯周病のリスクが高くなります。その他、噛み合わせのズレにより頭痛や顎関節症を引き起こしたり、咀嚼が十分にできず胃腸に負担がかかったりとお口だけではなく体全体の不調につながる可能性もあります。

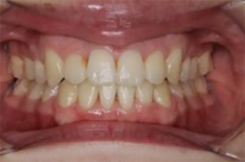
お悩み別症例集
上下顎に叢生を伴う状態




- 主訴
ガタガタを主訴に来院されました。
- 年齢
- 22歳
- 性別
- 女性
- 治療期間・回数
- 1年11か月
- 費用
- 918,000円
- 治療方法
上下顎両側第一小臼歯抜去を行い、上下顎ラビアルブラケットを装着して歯の移動を行ないました。
- 治療結果
叢生を除去し審美的な改善を行い、犬歯ガイド(左右に歯を動かした際に犬歯だけがあたり、他の歯に負担がかからないように動かすことが出来る状態)を確立し機能の回復を行ないました。初診時において口元が悪くなかったので、治療後に後退しないよう配慮を行い、歯の移動を行ないました。
- リスク・副作用
歯根吸収、咬合違和感、顎関節症、口元の悪化
骨格的に上顎が前方に位置していて、前歯の噛み合わせが深い状態




- 主訴
出っ歯と下の前歯が上の歯茎に食い込み痛みを伴うことを主訴に来院されました。
- 年齢
- 16歳
- 性別
- 男性
- 治療期間・回数
- 3年11か月
- 費用
- 892,500円
- 治療方法
上顎両側第一小臼歯を抜去し、上下顎ラビアルブラケットを装着して歯の移動を行ないました。
- 治療結果
過蓋咬合(噛み合わせが深い状態)、上顎前歯を後退させ、犬歯ガイド(左右に歯を動かした際に犬歯だけがあたり、他の歯に負担がかからないように動かすことが出来る状態)を確立し機能の回復を行ないました。初診時において口元の前突感が著しかったですが、上の前歯を後退することにより、審美的回復が行えました。
- リスク・副作用
歯根吸収、咬合違和感、顎関節症
骨格的に下顎が前方に位置していて、反対咬合を伴う状態


- 主訴
受け口と前歯の反対咬合を主訴に来院されました。
- 年齢
- 13歳
- 性別
- 女性
- 治療期間・回数
- 3年1か月
- 費用
- 840,000円
- 治療方法
上顎に前方牽引装置を装着して、前歯の反対咬合を改善した後に、上下顎ラビアルブラケットを装着して歯の移動を行ない、噛み合わせの確立を行いました。
- 治療結果
前歯の反対咬合を改善して、噛み合わせの緊密化することにより、機能的な回復を行ないました。初診時における受け口感の強い口元も審美的回復が行えました。
- リスク・副作用
歯根吸収、咬合違和感、顎関節症
上顎が前方に位置して、前歯が噛まない状態


- 主訴
前歯で物が噛めない、口が閉じにくいことを主訴に来院されました。
- 年齢
- 21歳
- 性別
- 女性
- 治療期間・回数
- 2年3か月
- 費用
- 750,000円
- 治療方法
上下顎両側第一小臼歯抜去を行い、上下顎ラビアルブラケットを装着して歯の移動を行ないました。
- 治療結果
開咬(噛み合わせ噛まない状態)を改善し、犬歯ガイド(左右に歯を動かした際に犬歯だけがあたり、他の歯に負担がかからないように動かすことが出来る状態)を確立し機能の回復を行ないました。初診時において口元の前突感、口唇の閉鎖不全(口が閉じにくい状態)を改善して審美的な改善を行いました。
- リスク・副作用
歯根吸収、咬合違和感、顎関節症
あなたのお悩みやご希望をお聞かせください
症例でご紹介している方々も、最初は「矯正治療って痛いのかな?」「費用はどのくらいかかるのかな?」など様々な不安を抱えていらっしゃいました。
そんなとき、最初の⼀歩となるのが初回カウンセリングです。
当院の初回カウンセリングでは、現在のお口の状態を拝見しお一人お一人のお悩みやご希望などをお伺いし、詳しくご説明させていただきます。
「自分もこんな風に綺麗になりたい!」と感じた方は、まずはお気軽にご相談ください。

●リスク・副作用
○矯正治療にともなう一般的なリスク・副作用・矯正治療の一般的な治療費は60万~150万円、一般的な治療期間は2~3年、一般的な治療回数は24~36回となります。使用する装置、症状や治療の進行状況などにより変化しますので、参考程度にお考えいただき、詳細は歯科医師にご確認ください。
・機能性や審美性を重視するため、公的健康保険対象外の自費診療となり、保険診療よりも高額になります。
・最初は矯正装置による不快感、痛みなどがあります。数日から1~2週間で慣れることが多いです。
・治療期間は症例により異なりますが、成人矯正や永久歯がすべて生えそろっている場合は、一般的に1年半~3年を要します。小児矯正においては、混合歯列期(乳歯と永久歯が混在する時期)に行なう第1期治療で1~2年、永久歯がすべて生えそろったあとに行なう第2期治療で1~2年半を要することがあります。
・歯の動き方には個人差があるため、治療期間が予想より長期化することがあります。
・装置や顎間ゴムの扱い方、定期的な通院など、矯正治療では患者さまのご協力がたいへん重要であり、それらが治療結果や治療期間に影響します。
・治療中は、装置がついているため歯が磨きにくくなります。虫歯や歯周病のリスクが高まるので、丁寧な歯磨きや定期メンテナンスの受診が大切です。また、歯が動くことで見えなかった虫歯が見えるようになることもあります。
・歯を動かすことにより歯根が吸収され、短くなることがあります。また、歯肉が痩せて下がることがあります。
・ごくまれに、歯が骨と癒着していて歯が動かないことがあります。
・ごくまれに、歯を動かすことで神経に障害を与え、神経が壊死することがあります。
・治療中に金属などのアレルギー症状が出ることがあります。
・治療中に、「顎関節で音が鳴る、顎が痛い、口をあけにくい」などの顎関節症状が出ることがあります。
・問題が生じた場合、当初の治療計画を変更することがあります。
・歯の形状の修正や、噛み合わせの微調整を行なうことがあります。
・矯正装置を誤飲する可能性があります。
・装置を外すときに、エナメル質に微小な亀裂が入る可能性や、補綴物(被せ物など)の一部が破損することがあります。
・装置を外したあと、保定装置を指示どおりに使用しないと後戻りが生じる可能性が高くなります。
・装置を外したあと、現在の噛み合わせに合わせて補綴物(被せ物など)の作製や虫歯治療などをやり直す可能性があります。
・顎の成長発育により、歯並びや噛み合わせが変化する可能性があります。
・治療後に、親知らずの影響で歯並びや噛み合わせが変化する可能性があります。
・加齢や歯周病などにより、歯並びや噛み合わせが変化することがあります。
・矯正治療は、一度始めると元の状態に戻すことが難しくなります。




